

小暑过后,
按老规矩进入了“烧烤模式”,
此时的痘痘是愈发的嚣张,
辛苦各位油痘星人了~脸上长痘至少在眼皮子底下,
还能及时战痘。
但是总有那么一波“坏家伙”总喜欢在“背后”搞事。

问题是等到发现的时候已经不是小事一桩了,
那密密麻麻的程度迪小豆看了都要密恐了......
想了想,这份「美背秘籍」不能再拖了,
这样下去怎么对得起关注迪小豆的小伙伴们~
勇敢的油痘星人们,准备好了吗?
了解背痘“分级打怪”,
一起成功通关,实现清凉一夏。


犹如“雨后春笋”,
无处不长,但就是不冒头。

虽说不仔细看还是看不出痕迹的,
可是一摸上去,
“磨砂”般的手感实在让人难忘,
偶尔摸到一颗比较突出的,
手一抠,
一粒黄色的小颗粒嵌在了自己的指甲缝里。
这么一描述,
各位感同身受了吧?
其实“青铜”痘痘君和脸上的粉刺本命都是一样的,
都是出油过多导致的,
所以说「去油」变得尤为重要。

你以为油痘星人洗澡都是洗发水一抹,
头发和身体一起照顾,
3分钟结束就算洗好澡了是吗?
尤其是男生,
这种行为赶紧、麻溜地给我改正过来,
按着下面的方法来做。

🍃 不要痴迷于皂基洗护,
虽然它看似清洁得比较到位,
洗后舒爽得如沐清风,
但是这仅仅是一种假性清爽!
最终还是要选择酸类洗护才能洗除油脂污垢,
并且代谢角质。
🍃 “磨砂”去角质有时也是必要的,
这些痘痘在比它还密集的颗粒面前,
只能举手投降。
🍃 虽说时间上不能随便敷衍了事,
但是绝对也不意味着就可以长时间洗澡,
从抹完沐浴露到冲洗,5分钟足够了,
水温也不宜太高,40℃就足够啦。

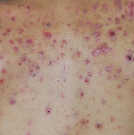
从“青铜”到“白银”,
痘痘完全升级,
变得愈发难缠,
关键是又痛又痒,
温度一高,真的是太痛苦了。

但是你以为但凡疙瘩都是痘痘吗?
这里就要@它的另一个孪生兄弟了——毛囊炎。
常见的痘痘颗粒大,分布散,
主要是因为油脂,
还有异常代谢的角质和痤疮杆菌,
这些诱发因素引起的。
越是出油,
对于痤疮杆菌来说就越欢喜。
而毛囊炎则分为真菌性和细菌性毛囊炎两种,
在高温天气中,
毛囊炎的属于高发。
🍃 对于身体出油比较多的人来说,
可以选择清洁力度强一点的酸类洗浴产品,
保证一定的清洁力度,
皂基类洗浴产品需要控制使用率,
例如隔天使用。
🍃 可以使用含有水杨酸、
果酸的身体保湿产品,对于治疗也会有一定帮助。
🍃 之后留下的色素沉着,
可以使用含有水杨酸、果酸、烟酰胺、氨甲环 酸、
熊果苷等成分的身体保湿产品,
效果也和浓度、使用时间有关。

到了这个程度,
基本上算是一个油痘星人的老前辈了,
但基本上10个长痘,
9个留印,有新鲜的“红豆”,
也有陈年“黑豆”。
虽然最终还是战痘成功,
但是毕竟漫长的战痘之路总会走错路,留下伤。
所以这个时候背上也许已经不止痘痘了,
还有丑得自己都不想看的痘印。
🍃 痘痘最忌讳抓、挠,
痘印越来越黑十有八九就是抠出来的,
正发的痘痘感染,正好的痘痘再次破裂。
🍃 之后要注意给痘痘消炎,
舒缓,这样才能好得快,
一周之后可以涂少量的果酸精华,
防晒就更不用说了。
🍃 这个程度的痘痘就连饮食生活习惯都要注意,
少吃芝士喝奶,
一切奶制品都是痘痘的肥料!
喜欢熬夜的油痘星人不为你的健康,
也请为了你的美貌克制一点。
这个随时“容貌焦虑”的年代,
相信迪小豆,
不要让痘痘变成你的焦虑~




宁公网安备 64010402001130号